表参道で審美治療なら、
AND美容外科・歯科
- ワンデーセラミック
- ホワイトニング
- マウスピース矯正
リラックスできる、
個室の診療空間。
Cases 症例のご紹介
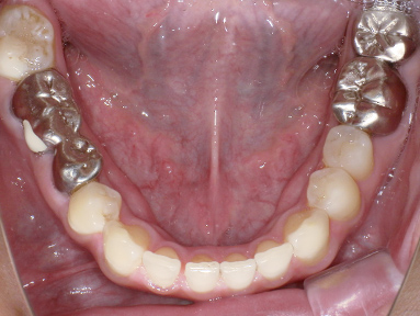
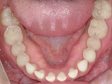
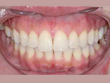
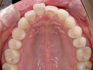
ワンデーセラミック
-
Before
-
After
- 施術名
- ワンデーセラミック
- 施術の説明
- セラミック製の詰め物や被せ物(クラウン)を、1日で製作・装着する治療です。
- リスク
- 欠け・破損、変色、破損、歯肉の退縮、歯根吸収、虫歯、歯周病、歯肉炎、歯の脱灰
- 治療回数・期間
- 1回
- 費用
- 1本 220,000円(税込)
(ジルコニアクラウン6本)
※別途、処置料として、1本あたり8,800円が掛かります。
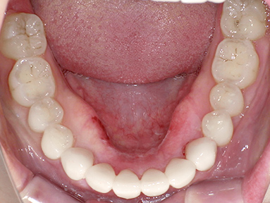
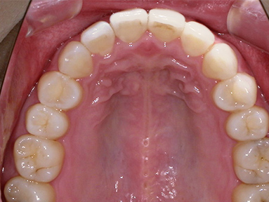
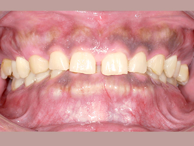
ワンデーセラミック
-
Before
-
After
- 施術名
- ワンデーセラミック
- 施術の説明
- セラミック製の詰め物や被せ物(クラウン)を、1日で製作・装着する治療です。
- リスク
- 欠け・破損、変色、破損、歯肉の退縮、歯根吸収、虫歯、歯周病、歯肉炎、歯の脱灰
- 治療回数・期間
- 1回
- 費用
- 1本 143,000円(税込)
(ジルコニアインレー2本)
※別途、処置料として、1本あたり8,800円が掛かります。
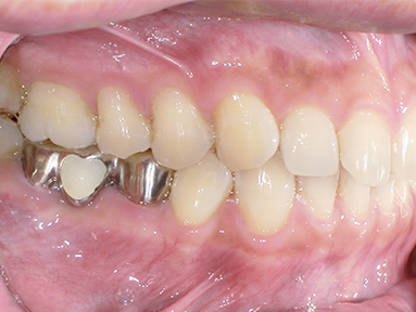
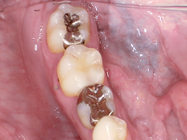
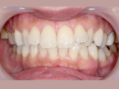
ワンデーセラミック
-
Before
-
After
- 施術名
- ワンデーセラミック
- 施術の説明
- セラミック製の詰め物や被せ物(クラウン)を、1日で製作・装着する治療です。
- リスク
- 欠け・破損、変色、破損、歯肉の退縮、歯根吸収、虫歯、歯周病、歯肉炎、歯の脱灰
- 治療回数・期間
- 2回/2日
- 費用
- 1本 165,000円〜220,000円(税込)
(ジルコニアクラウン3本(連結)、セラミッククラウン2本)
※別途、処置料として、1本あたり8,800円が掛かります。
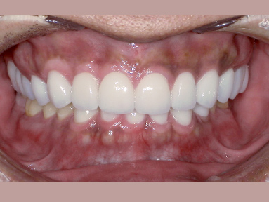
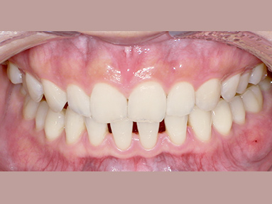
セラミッククラウン+歯肉整形
-
Before
-
After
- 施術名
- セラミッククラウン+歯肉整形
- 施術の説明
- セラミッククラウンは、虫歯や欠けた歯を補いながら、美しさを追求する治療です。歯肉整形は、歯茎の形状を整え、歯と歯茎のバランスを調整する治療です。
- リスク
- 【セラミッククラウン】欠け・破損、腫れ、赤み。
【歯肉整形】後戻り、腫れ。 - 治療回数・期間
- 【セラミッククラウン】3回/1ヶ月~2ヶ月。
【歯肉整形】1回(セラミック形成時、同時施術) - 費用
- 【セラミッククラウン】110,000円〜187,000円(税込)
※別途、処置料として、1本あたり8,800円が掛かります。
【歯肉整形】5,500円〜110,000円(税込)
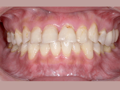
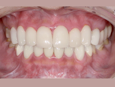
セラミッククラウン
-
Before
-
After
- 施術名
- セラミッククラウン
- 施術の説明
- 虫歯や欠けた歯を補いながら、美しさを追求する治療です。
- リスク
- 欠け・破損、腫れ、赤み
- 治療回数・期間
- 4回/1ヶ月~2ヶ月
- 費用
- 110,000円〜187,000円(税込)
別途、処置料として、1本あたり8,800円が掛かります。
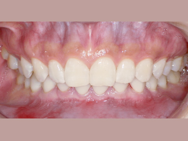
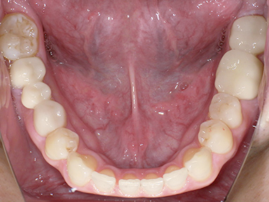
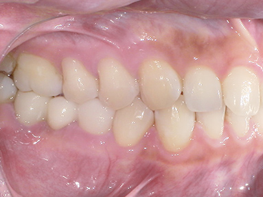
マウスピース矯正(上下顎)
-
Before
-
After
- 施術名
- マウスピース矯正(上下顎)
- 施術の説明
- 透明なマウスピース型の矯正装置を使用して、歯並びを矯正する治療です。
- リスク
- 歯肉の退縮や、歯根吸収、虫歯、歯周病、歯肉炎、歯の脱灰
- 治療回数・期間
- 6ヶ月
- 費用
- 748,000円(税込)
マウスピース矯正
-
Before
-
After
- 施術名
- マウスピース矯正
- 施術の説明
- 透明なマウスピース型の矯正装置を使用して、歯並びを矯正する治療です。 (上のみ)
- リスク
- 歯肉の退縮や、歯根吸収、虫歯、歯周病、歯肉炎、歯の脱灰
- 治療回数・期間
- 4回/4ヶ月
- 費用
- 572,000円(税込)
Contact お問い合わせ
- AND美容外科・歯科
- 〒107-0062
東京都港区南青山5丁目6-6 ARISTO南青山Ⅲ2階 - アクセス:銀座線/千代田線/半蔵門線 表参道駅 徒歩約1分
- 診療時間:10:00-19:00
- 休診日:不定休
